APARATO REPRODUCTOR
MASCULINO
- Vejiga urinaria
- Hueso púbico
- Pene
- Cuerpo cavernoso
- Glande
- Prepucio
- Abertura de la uretra
- Colon sigmoides
- Recto
- Vesícula seminal
- Conducto eyaculador
- Próstata
- Glándula de Cowper (glándula bulbouretral)
- Ano
- Vaso deferente
- Epidídimo
- Testículo
- Escroto
PATOLOGIAS:
* PENE:
Anomalías
congénitas:
-Hipospadia-Epispadia:
orificios anormales del conducto uretral.
En la primera, el orificio aparece en la cara
ventral del pene, en la segunda aparece en la cara dorsal del pene. Estas dos
predisponen a infecciones y a infertilidad.
-Fimosis: el orificio del prepucio es muy pequeño e impide su retracción
normal.
Lleva a distintas complicaciones como:
Lleva a distintas complicaciones como:
*Infecciones porque impide la higiene
*Se
acumula esmegma, lo que predispone al carcinoma, ya que posee metabolitos
carcinogénicos.
*Parafimosis: cuando se lo retrae forzadamente, no puede volver al sitio
original, esto provoca intenso dolor, retención aguda de orina y por la
isquemia puede llevar al infarto de pene.
Inflamaciones:
-Inespecíficas
(Balanopostitis): los predisponentes son
malas condiciones de higiene y fimosis, a causa de estafilococo, gardnerella
vaginalis, estreptococos. Afecta glande y prepucio. Se ve enrojecimiento,
irritación, si se descuida pueden producirse ulceras en la mucosa que llevan a
la cicatrización, pudiendo generar una fimosis adquirida.
-Específicas: son las venéreas: Sífilis, herpes, gonorrea y linfogranuloma
venéreo.
Lesiones
pre-malignas: son carcinomas in situ,
asociados al HPV tipo 16(serotipo de alto riesgo).
-Eritroplasia de Queyrat: se da en adultos, a nivel del glande o prepucio. Es una placa
roja de 1 centímetro, con disminución de la capa cornea, atipia en la epidermis
e infiltrado inflamatorio crónico en la dermis, con abundante vascularización.
-Enfermedad de Bowen: se da después de los 35 años, a nivel de glande y prepucio
también. Es una placa marrón, puede tener ulceras y costras. Atipia epidérmica.
-Papulosis Bowenoide: se da en menores de 35 años. Son múltiples pápulas marrones.
Tiene la misma histología que la anterior pero casi nunca infiltra y en muchos
casos sufre regresión espontanea.
Tumores:
·
Benignos:
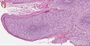
Condiloma acuminado: aparece en glande o prepucio. Son verrugosidades de mm. a
cmts. Producidas por HPV de bajo riesgo.
Histología: varios ejes digitiformes de tejido
conectivo, rodeados de epitelio hiperplasico, con acantosis, hiperqueratosis y
coilocitosis. No hay atipia.
·
Malignos:
Carcinoma verrucoso: semejante al anterior pero más grande. También es producido
por HPV. Alcanza grandes tamaños pudiendo destruir totalmente al pene. Produce
ulceras y es invasivo. Tiene atipia. No metastatiza.
Carcinoma epidermoide (90%): se da entre los 40 y
70 años. Predisponentes: infecciones por HPV de alto riesgo
Circunstancias que favorezcan acumulación de esmegma
Lesiones pre malignas
Morfología: comienza
en el glande y prepucio como una placa o una lesión papilar, generalmente
blanca, cuando alcanza 1 centímetro se ulcera, y se añaden infecciones, acá es
cuando el paciente llega a la consulta, por el dolor y el sangrado.
Evolución: invade el
núcleo del pene y metastatiza a ganglios inguinales. Mal pronóstico.
Melanomas
* TESTICULO Y
EPIDIDIMO:
Anomalías
congénitas:
-Agenesia
-Sinorquidia (fusión testicular)
-Criptorquidia: es la falta de descenso testicular o descenso incompleto. Es
la anomalía congénita más frecuente,
Suele ser unilateral y es más frecuente del lado
derecho, aunque puede ser bilateral. Se lo descubre por palpación. A partir de
los dos años de vida comienza la atrofia. (Hay hialinizacion de la membrana
basal de los túbulos, por fibrosis, hay disminución de células espermáticas y
de Sertoli, con el tiempo los túbulos se convierten en cordones fibrosos
macizos. Las células de Layding se conservan).
Inflamaciones: (Son más frecuentes en epidídimo)
-Inespecíficas: Epididimitis
u orquitis, generalmente por
infecciones.
-especificas: por gonorrea
TBC
Sífilis
Parotiditis: se da en mayores de diez
años y solo en el 30% de los que sufren
parotiditis. Esta complicación aparece una semana después del episodio, la
inflamación es intersticial, allí encontramos infiltrado de linfocitos, ya que
es viral, y edema. Si el líquido de edema es intenso puede comprimir los
túbulos y atrofiarlos, dejando como secuela la esterilidad.
Orquitis autoinmune: es rara, se da luego de traumatismos testiculares, por el cual
se rompieron túbulos seminíferos y extravaso esperma, esto género la formación
de granuloma inmune. En otros casos no se sabe la causa. Produce aumento del
tamaño testicular acompañado de dolor.
Torsión:
Es un giro que sufre el cordón espermático, el
cual puede cortar el drenaje venoso y seguir el flujo arterial, por lo que se
va cargando de sangre. La causa más frecuente es la falta de ligamento
escrotal, también traumatismos o movimientos violentos. Se produce un infarto
rojo.
Clínica: aumento de
tamaño y dolor intenso, si se corrige antes de las 6 horas de producido, se
podría evitar el infarto.
Lesiones de la túnica vaginal:
-hematocele: sangre en la túnica vaginal, ya sea por traumatismos, torsión,
invasión neoplásica.
-Quilocele: linfa en la túnica vaginal por bloqueo linfático, se ve en
elefantiasis.
Tumores:
1: limitado al testículo, epidídimo o cordón
espermático
2: extensión a ganglios extra diafragmáticos o
retro peritoneales
3: metástasis a distancia o a ganglios supra
diafragmáticos
El seminoma es el de mejor pronóstico, el 95% se cura en estadios 1 y 2.
Los no seminoma 90% a los 2 años en estadio 1, y 50% a los 2 años en estadio 2.
El de peor pronóstico es el carcinoma.
* PROSTATA:
Aspectos normales
La próstata presenta 4 zonas bien definidas. Una
que rodea a la uretra ZONA PERIURETRAL, una ZONA DE TRANSICION y otra CENTRAL,
en estas se da la hiperplasia, y finalmente una ZONA PERIFERICA, que rodea toda
la próstata, con gran desarrollo hacia posterior, que es donde se produce
cáncer.
Histología: formada
por 30 a 50 glándulas túbulo alveolares que drenan en la uretra por conductos
excretores. Estas glándulas presentan dos capas de epitelio, una cubica basal y
otra cilíndrica apical.
Prostatitis:
Puede ser
·
Aguda
bacteriana: es la supuración de la
próstata, por los agentes que causa infección urinaria, que alcanzan la
próstata a través de la uretra prostática. Morfología: presentan
abscesos diseminados, con necrosis licuefactiva, supuración, neutrófilos en el
estroma y dentro de las glándulas. Puede curar dejando focos de cicatrización o
pasar a la cronicidad. Clínica: fiebre, disuria, polaquiuria, dolor a la
palpación prostática. Diagnóstico: se obtiene secreción prostática por
masaje prostático, y la presencia de más de diez leucocitos por campo de mayor
aumento diagnostica prostatitis, con el cultivo se identifica el agente causal.
·
Crónica
bacteriana: es consecuencia de la
aguda, por lo tanto los agentes son los mismos. Cambia la morfología donde el
infiltrado es de mononucleares, con áreas de fibrosis. Clínica:
asintomáticos y se sospecha cuando el paciente tiene infecciones urinarias a
repetición, la siembra se puede estar produciendo a partir de la próstata,
teniendo en cuenta que lo ATB no atraviesan bien la próstata.
·
Crónica
abacteriana o prostatosis: es la más frecuente, se
llama abacteriana porque en el estudio de las secreciones hay más de diez
leucocitos por campo de mayor aumento, pero el cultivo es negativo. Se sospecha
de chlamydia trachomatis. La histología y la clínica es igual que la otra
crónica.
·
Prostatitis
granulomatosa: la causa más común es la BCG instilada en el cáncer de
vejiga, no requiere tratamiento. En inmunodeprimidos son agentes micoticos. Hay
una forma inespecífica que es reactiva a la ruptura de glándulas o conductos.
Hiperplasia nodular:
Se da en mayores de 50 años, es tan frecuente, que
se piensa que puede ser un proceso normal de envejecimiento. El 90% lo presenta
a los 70 años. Se presenta en las zonas de transición y periuretral (no
cancerígenas).
Patogenia: luego de
los 50 años disminuye la concentración de andrógenos (testosterona), con un
aumento relativo de estrógenos. El estrógeno ingresa a la célula y a nivel del
núcleo estimula la producción de receptores para DHT. Mientras tanto, la
testosterona que también ingresa a la célula, encuentra la enzima 5
alfa-reductasa que la transforma en DHT. Esta interacciona con su receptor e
induce la hiperplasia.
Morfología: se ven
nódulos que comprimen tejidos adyacentes, son de color rosados o grises. No
poseen capsula, pero están bien delimitados.
Histología: se ven 3
elementos: proliferación glandular, fibrosa y muscular. Según el predominio de
unos sobre otros se ven 2 patrones:
1-
Hiperplasia glandular: se
da en la zona de transición. Se ven glándulas con dilatación quística, pueden
tener papilas, pero conservan las 2 capas de epitelio normal.
2-
Hiperplasia fibromuscular:
se da en la zona periuretral, hay hiperplasia e hipertrofia de células
musculares lisas y tejido fibroso.
Clínica: no todos
padecen síntomas. Las consecuencias se relacionan con la obstrucción uretral y
por esto provocan una circunstancia de estasis, lo que predispone a cistitis y
pielonefritis. Tiene polaquiuria, nicturia, dificultad para iniciar o detener
la micción, chorro bífido, goteo por rebosamiento, en algunas ocasiones,
padecen retención aguda de orina. NO PREDISPONE AL CARCINOMA.
Carcinoma de próstata:
Se da después de los 50 años, pero ante
antecedentes familiares puede aparecer desde los 40.
Predisponentes
·
consumo elevado de grasas
(colesterol)
·
trabajadores del cadmio
·
andrógenos, por el tema de
los receptores
·
genética ( BRCA-2)
·
PIN
Morfología: aparece en
zona periférica, accesible al tacto por vía rectal, se palpa de consistencia
dura.
Evolución: atraviesa
la capsula, infiltra vesículas seminales, vejiga, recto, luego metastatiza a
ganglios iliacos, aórticos, y por vía hemática a hueso (columna lumbar, fémur,
pelvis, columna dorsal y costillas).
Histología: si está
bien diferenciado forma glándulas que hay que diferenciar de la hiperplasia,
que tiene papilas. En el cáncer se pierde la capa basal de células, dejando
solo una capa.
Si no está bien diferenciado puede carecer de glándulas
y formar patrones sólidos, o sea sin luces.
Diagnóstico: PCA normal
à controlo al año
PCA anormalà o sea elevado, hago tacto rectal a ver si palpo dura la
próstata, porque si no puede que no sea cáncer. Pido ecografía acompañada de
biopsia, para armar graduación de Gleason. Luego veo si hay metástasis por
tomografía o resonancia para ver ganglios afectados, y centello grama para ver
huesos.
Estadios:
T1: lesión no palpable ni visible por radiología (se encuentra por
casualidad)
T2: confinado a la próstata, palpable y visible. Asintomático.
T3: invasión capsula
T4: invasión de órganos adyacentes
N0: sin afección de ganglios
N1: metástasis ganglionar regional
M0: sin metástasis a distancia
M1: metástasis a distancia
*Curables
Marcadores:
Aumento de ag. Prostático específico. Es precoz,
puede elevarse desde T1.
Aumento de fosfatasa acida, desde T3.
Aumento de fosfatasa alcalina, por metástasis
ósea.
Sistema de graduación de Gleason:
Graduación histológica con valor diagnóstico.
Se basa en la diferenciación y el patrón de
crecimiento en relación al estroma. Toma en cuenta el patrón predominante y el
secundario.
La graduación histológica es de 1 a 5 y el conteo
final de 2 a 10.
Si hay solo un patrón se multiplica por dos. Si
hay dos patrones se suman.
·
Grado 1: poco espacio
entre los acinos (back to back)
·
Grado 2: mayor distancia
entre los acinos
·
Grado 3: como el anterior
pero más infiltrante
·
Grado 4: muy infiltrante,
poco espacio entre los acinos
·
Grado 5: muy infiltrante,
patrón sólido, sin glándulas
Entonces:
·
2 a 4 es de bajo riesgo
·
5 a 7 es de grado intermedio
·
8 a 10 es de alto riesgo
Bibliografia:
ARGENTE- ÁLVAREZ. Semiología medica, Fisiopatología, SEMIOTECNIA Y Propedéutica. Editorial Panamericana.
Bibliografia:
ARGENTE- ÁLVAREZ. Semiología medica, Fisiopatología, SEMIOTECNIA Y Propedéutica. Editorial Panamericana.




Te felicito nuevamente. Excelente trabajo.
ResponderEliminar